한 여성이 약 28년 만에 눈꺼풀에서 콘택트렌즈를 발견했습니다. 어렸을 적 꼈던 렌즈였는데요.
영국 일간 ‘데일리메일’은 지난 13일(현지 시각) 영국 스코틀랜드 동부에 사는 한 여성 A 씨의 사연을 전했습니다.

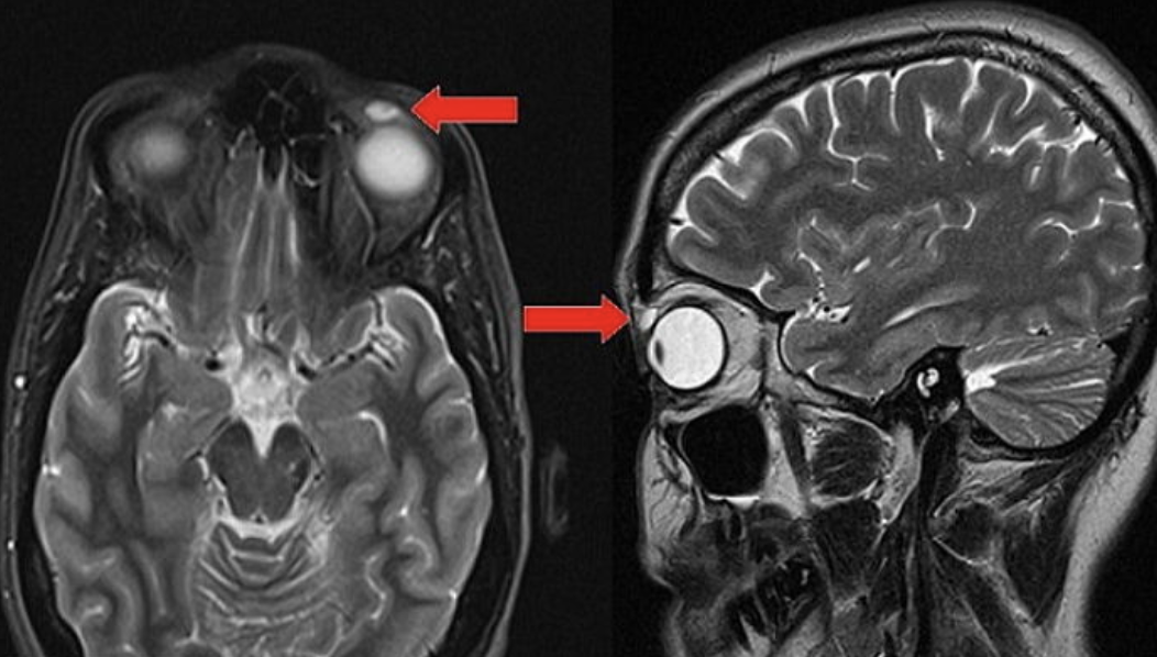
A 씨는 최근 자신의 눈꺼풀에서 볼록한 무언가를 만졌습니다. 그녀는 곧바로 병원을 찾았는데요. 의사는 낭종으로 추정했습니다.

의사는 수술을 진행했습니다. 그 결과, A 씨의 눈꺼풀 안쪽에서 오래된 콘택트 렌즈가 발견됐습니다.
무려 28년 전, A 씨는 배드민턴 경기 도중 셔틀콕을 얼굴에 맞았습니다. 그 순간 렌즈를 분실했었는데요. 그 렌즈가 밖으로 나간 것이 아니라 눈꺼풀 안쪽에 붙어있었던 것.

다행히도 렌즈는 여성의 시력에 악영향을 끼치지 않았습니다. 해당 사연은 콘택트렌즈가 눈꺼풀 속에서 가장 오래 남아있었던 사례로 의학 저널에 실렸습니다.

<사진출처=데일리메일, 연합뉴스>
HOT PHOTOS